泌尿时讯 发表时间:2026/4/25 0:50:47

编者按
对根治性切除术后新发转移的肾细胞癌(RCC)患者,血管内皮生长因子受体-酪氨酸激酶抑制剂(VEGFR-TKI)单药治疗曾是较长时间内的标准治疗方案,但传统TKI单靶治疗在长期控制病情方面仍存在未满足的临床需求。近年来,高选择性VEGFR-TKI正逐渐进入临床,且与免疫检查点抑制剂联合应用时,有望在靶向治疗和免疫治疗获益方面发挥协同效应,使患者实现持续临床获益。
本文将分享一例经根治性切除术、肺转移切除术和一线单靶治疗后,肺转移等远处转移再度进展的晚期RCC患者案例,患者换用高选择性TKI呋喹替尼联合免疫治疗,实现达30个月的无进展生存期(PFS),可为未来临床实践用药提供参考。
(注意:以下病例简评仅系相关主治医生在执业过程中的病情回顾与评述,供医生读者科学交流和参考。个体病例通常具有差异性,具体治疗方案及用药应当结合个体情况做出,并严格遵循医嘱。)
患者男性,58岁,于2023年1月30日入我科。
主诉:确诊右肾癌5年余,一线靶向治疗16个月后进展2月余
诊断:转移性右肾透明细胞癌(双肺,右侧腰大肌前缘及髂外血管旁淋巴结转移(T1N0M1,Ⅳ期)
晚期二线治疗(2023年2月-2025年8月)
治疗方案:呋喹替尼+信迪利单抗联合治疗→呋喹替尼单药治疗
患者入院并完善相关检验检查后,治疗团队评估病情并核对入排,且患者及家属有参与临床研究意愿,入组II/III期临床研究FRUSICA-2,遂于2023-02-01开始予患者呋喹替尼(5mg,qd,用2周停1周)+信迪利单抗(200mg q3w)联合治疗,患者按方案治疗并规律复查,治疗6周期后疗效评价为疾病稳定(SD),至治20周期(2024-04-03)时疗效评价达到部分缓解(PR)。此后患者继续原治疗方案,至2025-02-13时因信迪利单抗治疗满24个月,按FRUSICA-2研究要求停用免疫治疗。
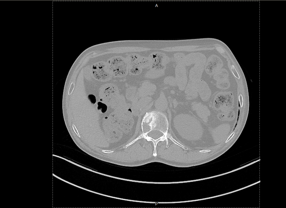
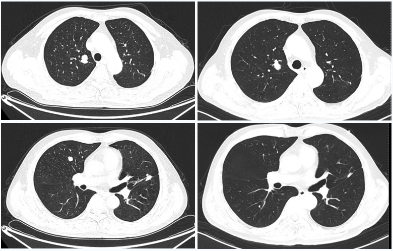
△2023年2月患者基线时CT(左)与2024年4月时CT(右)检查所见对比
患者2025-02-13起转为呋喹替尼单药治疗,剂量及用法同前,共治疗9个周期,后患者于2025-08-21复查CT及SPECT骨扫描,靶病灶疗效评价仍维持PR,但检查同时示胸12椎体存在转移可能,综合考虑疗效为疾病进展(PD),遂终止呋喹替尼治疗。
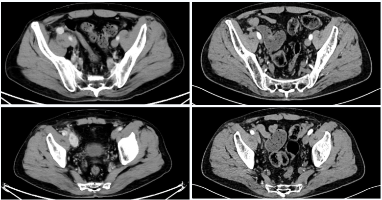
△2025年8月疗效评估时患者CT检查(右)较基线(左)对比

△2025年8月疗效评估时患者CT检查(上)及SPECT骨扫描(下)提示新发胸椎转移
晚期三线治疗(2025年9月-2026年2月)
患者出组研究后,于2025年9月换用靶免联合方案继续治疗,并使用地舒单抗(120mg,q3w)预防骨相关不良事件;末次电话随访(2026-02-04)时,患者自诉病情总体稳定。
本例患者为右肾RCC术后新发肺转移并接受转移灶切除术后,经培唑帕尼一线治疗后进展,双肺结节较前持续增大、增多,右侧腰大肌前方及髂血管旁淋巴结增大,遂入组FRUSICA-2研究接受呋喹替尼+信迪利单抗二线治疗,最佳疗效评价达到PR且维持超1年,自基线时起的无进展生存期(PFS)约30个月,直至患者新发胸12椎体骨转移,疗效评估为PD并终止治疗,后线治疗改为TKI+免疫检查点抑制剂。
本期病例提供者:重庆大学附属肿瘤医院 泌尿外科 陈函
对出现远处转移的晚期RCC患者,传统TKI单药一线治疗对部分人群可能难以实现长期病情控制,如本例患者一线使用的培唑帕尼,在较早开展的III期临床研究中报告其中位PFS约8个月[1]。目前靶免联合方案已在晚期RCC一线治疗中取得重要进展,其对于一线TKI治疗失败的二线治疗患者仍具有重要临床价值与探索意义。
本例患者在转移性疾病阶段经培唑帕尼一线治疗失败后,入组FRUSICA-2研究并接受呋喹替尼+信迪利单抗联合二线治疗,最佳疗效评估达到PR,总体PFS约30个月,且治疗期间患者未发生严重不良事件,提示联合治疗有较好耐受性。
随着晚期肾癌治疗方式的持续发展,其二线治疗领域仍存在诸多未被满足的临床需求。既往一线单纯TKI治疗失败的患者,二线可选择的靶靶联合方案虽较单药靶向治疗疗效有所提升,如依维莫司联合伏罗尼布中位mPFS为10.0 个月、仑伐替尼联合依维莫司中位PFS为14.6个月;但临床仍有进一步优化的空间[2-3]。当前FRUSICA-2 III期研究结果证实,呋喹替尼联合信迪利单抗在晚期肾癌二线治疗中展现出显著的临床获益:BIRC评估的呋喹替尼联合信迪利单抗组中位PFS达到了22.21个月,显著优于对照组(阿昔替尼或依维莫司单药治疗)的6.90个月(HR 0.373,P<0.0001,下图)[4]。作为晚期肾癌二线治疗领域首个全国产靶免联合治疗方案,该研究结果已于2025年ESMO大会上进行口头报告,有望成为晚期肾癌患者二线治疗的一项新选择。
△FRUSICA-2研究III期部分PFS数据
肺转移是RCC最常见的远处转移之一[5],本例患者在根治性切除术后2年时检出肺转移,并因此接受肺转移切除术、术后白介素及TKI辅助治疗,但仍不足以长期控制病情,且因培唑帕尼治疗不良反应停药;在检查发现肺转移进展后,患者第一时间未予重视,未立刻接受TKI治疗,后续使用培唑帕尼治疗取得超过1年的病情控制;疾病再度进展后,患者符合FRUSICA-2研究入组条件,遂入组并接受呋喹替尼联合PD-1抑制剂信迪利单抗治疗,二线治疗PFS最终达30个月。
△FRUSICA-2研究III期部分整体设计
参考文献
[1] Motzer RJ, Hutson TE, Cella D, et al. Pazopanib versus sunitinib in metastatic renal-cell carcinoma. N Engl J Med. 2013;369(8):722-731. doi:10.1056/NEJMoa1303989
[2] Sheng X, Ye D, Zhou A, et al. Efficacy and safety of vorolanib plus everolimus in metastatic renal cell carcinoma: A three-arm, randomised, double-blind, multicentre phase III study (CONCEPT). Eur J Cancer. 2023;178:205-215. doi:10.1016/j.ejca.2022.10.025
[3] Motzer RJ, Hutson TE, Glen H, et al. Lenvatinib, everolimus, and the combination in patients with metastatic renal cell carcinoma: a randomised, phase 2, open-label, multicentre trial. Lancet Oncol. 2015;16(15):1473-1482. doi:10.1016/S1470-2045(15)00290-9
[4] Ye D, et al. 2592MO Fruquintinib (FRUQ) plus sintilimab (SIN) versus axitinib (AXI) or everolimus (EVE) monotherapy as 2L treatment in pts with locally advanced or metastatic renal cell carcinoma (RCC): Results from phase III part of a randomized, open-label, active-controlled phase II/III study (FRUSICA-2). Ann Oncol. 2025;36(supplement 2):S1298-1299. doi:10.1016/j.annonc.2025.08.3208
[5] Meacci E, et al. Lung metastasectomy following kidney tumors: outcomes and prognostic factors from a single-center experience. J Thorac Dis. 2017; 9(Suppl 12): S1267-S1272. doi:10.21037/jtd.2017.05.04
[6] Pal SK, Albiges L, Tomczak P, et al. Atezolizumab plus cabozantinib versus cabozantinib monotherapy for patients with renal cell carcinoma after progression with previous immune checkpoint inhibitor treatment (CONTACT-03): a multicentre, randomised, open-label, phase 3 trial. Lancet. 2023;402(10397):185-195. doi:10.1016/S0140-6736(23)00922-4
[7] Choueiri TK, Albiges L, Barthélémy P, et al. Tivozanib plus nivolumab versus tivozanib monotherapy in patients with renal cell carcinoma following an immune checkpoint inhibitor: results of the phase 3 TiNivo-2 Study. Lancet. 2024;404(10460):1309-1320. doi:10.1016/S0140-6736(24)01758-6
董培 教授
中山大学肿瘤防治中心
主任医师,博士研究生导师
·肾癌单病种主诊教授
·中南大学-哈佛大学联合培养博士
·CACA中西整合肾癌专委会肾癌规范化诊疗协作组组长
·CACA少见肾癌协作组副组长
·CSCO肾癌诊疗指南编写秘书、编委
·CACA中西整合肾癌专委会副主任委员
·广东省肾癌诊疗质控专委会副主任委员
·广东省肿瘤与血管多学科专委会副主任委员
·广东省保健协会免疫治疗分会副主任委员
·CSCO青委会常委委员
·CSCO肾癌专委会委员
·JCO中文版、CA中文版编委
·羊城好医师
·金山茶花奖-中国好医生
·中国泌尿MDT卓越医师
擅长:泌尿肿瘤的综合治疗,肾癌全程管理专家,微创保肾治疗复杂性肾肿瘤,高危肾癌的手术及术后辅助治疗,晚期转移性肾癌个体化多学科综合治疗,腹膜后复杂肿物的手术治疗;主持国自然面上、省自然面上多项基金、主持10余项单/多中心前瞻性临床研究;在Clin Cancer Res、IJC、Eur Radiol 等发表多篇论文;
李俊 教授
重庆大学附属肿瘤医院
医学博士,主任医师,博士生导师
·德国康斯坦茨大学博士后
·重庆市医学领军人才
·重庆市中青年医学高端人才
·中国抗癌协会泌尿系肿瘤专委会委员
·中国老年学和老年医学学会公共健康服务分会委员
·重庆市老年学和老年医学会泌尿外科分会副主任委员
·重庆市医学会泌尿外科学专委会青年副主任委员
·重庆市医师协会微无创医师分会青年副主任委员
·国家自然科学基金通讯评审专家
·先后主持国家自然科学基金项目三项
·主持国家人社部外国专家局项目一项
陈函 教授
重庆大学附属肿瘤医院
泌尿外科主治医师,医学硕士
长期致力于泌尿生殖系肿瘤及泌尿系结石疾病的临床工作及基础研究,能够熟练开展泌尿系肿瘤及结石的内镜治疗及腹腔镜手术;在国内外核心期刊发表论文多篇。
材料编号:NP-ELU-26N242-Valid Until-2028-April
本资料由和黄医药提供支持
本资料旨在促进医药信息的沟通和交流,而非广告宣传。本资料内容不能以任何方式取代专业的医疗指导,也不应被视为诊疗建议。若您想了解更多有关疾病知识的信息,请咨询医疗卫生专业人士。
(来源:《肿瘤瞭望-泌尿时讯》编辑部)
声 明
凡署名原创的文章版权属《肿瘤瞭望-泌尿时讯》所有,欢迎分享、转载(开白可后台留言)。本文仅供医疗卫生专业人士了解最新医药资讯参考使用,不代表本平台观点。该等信息不能以任何方式取代专业的医疗指导,也不应被视为诊疗建议,如果该信息被用于资讯以外的目的,本站及作者不承担相关责任。
温馨提示
添加小助手请备注“泌尿”